小P鵝貪吃「被送開刀房」!親爹來探望「伸長脖子關切」:女兒沒事吧...
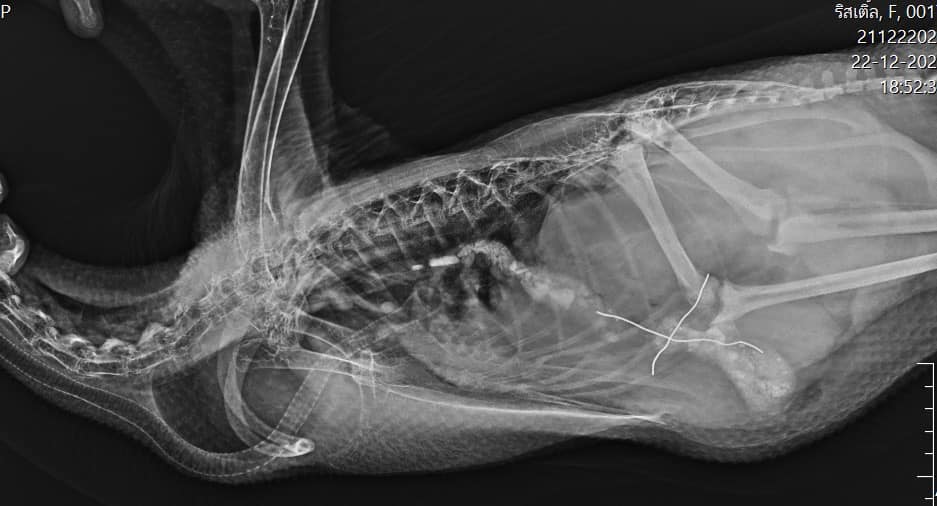
常見動物界「母子/女情深」的故事,但其實有些動物爸爸也是對孩子很有愛的~泰國就有隻小P鵝不慎誤食了電線,被送到獸醫院急救手術,而牠的「親爹」也來到醫院探望女鵝,畫面洋溢著父愛,也讓人心頭一暖!

(圖/FB/PanalaiVeterinaryHospital,以下同)
Advertisements
位於泰國暖武里府Tiwanon的動物醫院Panalai Veterinary Hospital,日前收治了一隻誤把電線吞下肚的白鵝,當時這隻貪吃P孩鵝已經完成鎮定麻醉,長脖子靠著枕頭、翅膀展開和雙腳伸直,乖乖躺在病床上了,而牠的腹部為了方便手術,也已先完成剃毛露出粉色的皮膚www

